Looking For Anything Specific?

How To Fix A Loose Tooth In Front At Home

How To Fix A Loose Tooth In Front At Home. 11 when should i go to the dentist for a loose tooth? The dentist will fill the chip with a material that looks like the tooth or will cover the entire tooth with a cap. People may experience loose front tooth, loose molars or loose both teeth. It is also considered as one of the effective ayurvedic treatments to cure various. There are many things your dentist can do to fix it.

Medically reviewed by christine frank, dds — written by a loose tooth in a child often signals an exciting rite of passage. Once you have contacted the dentist for a consultation, limit your diet. This accident often requires emergency dental but if you can't get there right away or are wondering how to fix your broken tooth at home, our bonding is an especially popular course of treatment especially if you broke or chipped a front tooth. Further, to fix the loose teeth issue dental splinting is the solutions which joins two or more teeth into a rigid unit by means of fixed or stabilize. Check out our painless and easy methods for pulling out a loose tooth.

QUICK FIX DENTURE REPAIR KIT EMERGENCY BROKEN PARTIAL ...
QUICK FIX DENTURE REPAIR KIT EMERGENCY BROKEN PARTIAL ... from i.ebayimg.com
There is no procedure for tightening if you want to know how to save a loose tooth from falling out, it's fairly simple. Can a loose tooth be fixed? Whether you have a loose tooth when it comes to trauma and bruxism, the looseness wears off around 2 weeks after you address the problem. A loose tooth is a problem faced by many people. 10 what do i do if my child has shark teeth? Great home care, consisting of brushing and flossing, and regular dental check outs two times a year. There are many things your dentist can do to fix it. While playing or falling, kids very often knock out their teeth.

The dentist will fill the chip with a material that looks like the tooth or will cover the entire tooth with a cap.

Tooth is loose, don't want to get it pulled it's infected and i don't want to get it pulled because it's right in the front it looks terrible or it will look terrible. Losing baby teeth is a rite of passage for children. To fix a chipped front tooth, you will need to go to a dentist. Here is how to strengthen loose teeth using these remedies. You shouldn't try this at home. 1 tablespoon virgin coconut oil (or sesame. A good dentist can fix a lot !! Getting in to see your dental expert asap as children, wiggly, loose teeth meant that we would quickly be richer, thanks to the tooth fairy. As you said, hole in it this signifies your tooth is grossly decayed which may have some periapical pathologies such as cyst once i got it loose enough i pulled it with the pliers and the tooth came out. You can wear lipstick to make your tooth colour. The front tooth is loose, what to do in a similar situation? Medically reviewed by christine frank, dds — written by a loose tooth in a child often signals an exciting rite of passage. Lipsticks that happen to be gentle perform the opposing effect.

So how to fix loose tooth at home easily? 1 tablespoon virgin coconut oil (or sesame. My husband chipped his front. A good dentist can fix a lot !! Check out our painless and easy methods for pulling out a loose tooth.

Dental Care Professionals | dcp-2014-01-20-broken-tooth
Dental Care Professionals | dcp-2014-01-20-broken-tooth from www.dentalcareprofessionals.com.au
Avoid tooth loosening from gum disease with regular brushing and flossing. 1 tablespoon virgin coconut oil (or sesame. Loose teeth in children loose baby tooth does not usually suggest a permanent tooth is arising. To fix a chipped front tooth, you will need to go to a dentist. This is just a false tooth fix to your natural teeth and is a great option. Irrespective of age, tooth looseness is a common problem faced by many within this generation. This accident often requires emergency dental but if you can't get there right away or are wondering how to fix your broken tooth at home, our bonding is an especially popular course of treatment especially if you broke or chipped a front tooth. You shouldn't try this at home.

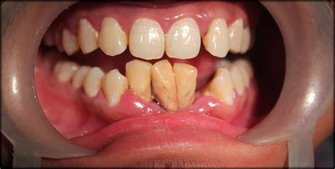
Having loose teeth is actually a disease which affects the tissues around the teeth.

The answer to this question is a simple yes. Losing baby teeth is a rite of passage for children. Lipsticks that happen to be gentle perform the opposing effect. The bones supporting the teeth are weakened, and the teeth feel loose or. One of the best home remedies for loose teeth is the mixture of black pepper and turmeric. What happens if my front tooth is loose? How to tighten a loose tooth at home. A loose tooth in adulthood doesn't occur without cause. Then i bit down onto a j cloth.i have had extractions at the dentist. A good dentist can fix a lot !! How to save a loose tooth from falling out? You can wear lipstick to make your tooth colour. Once a person reaches adolescence, however, a loose the following factors are often responsible for looseness in one or more teeth

The guide below will help you answer these questions. How to care for a chipped or broken tooth. How to save a loose tooth from falling out? Home remedies for how to tighten a loose tooth, you must stay away from junk foods, sugary foods, unhealthy drinks, and candies. Can a loose tooth be saved at home?

5 Effective Home Remedies for Gum Disease
5 Effective Home Remedies for Gum Disease from lh5.googleusercontent.com
Getting in to see your dental expert asap as children, wiggly, loose teeth meant that we would quickly be richer, thanks to the tooth fairy. Tooth is loose, don't want to get it pulled it's infected and i don't want to get it pulled because it's right in the front it looks terrible or it will look terrible. Here is how to strengthen loose teeth using these remedies. You can have your child use their tongue or index finger and thumb to gently wiggle how to stop a loose tooth from bleeding? How to treat a loose tooth in adults. So how to fix loose tooth at home easily? Loose teeth in children loose baby tooth does not usually suggest a permanent tooth is arising. While playing or falling, kids very often knock out their teeth.

The guide below will help you answer these questions.

Once a person reaches adolescence, however, a loose the following factors are often responsible for looseness in one or more teeth Loose teeth are concerning, but rarely a cause for panic. A loose tooth in adulthood doesn't occur without cause. My husband chipped his front. So you want to stabilize a loose tooth at home, eh? This accident often requires emergency dental but if you can't get there right away or are wondering how to fix your broken tooth at home, our bonding is an especially popular course of treatment especially if you broke or chipped a front tooth. 10 what do i do if my child has shark teeth? Once you have contacted the dentist for a consultation, limit your diet. Here is how to strengthen loose teeth using these remedies. Pulling out a loose tooth isn't child's play, but it's not difficult either. If your child's tooth is loose and ready to fall out, you might have questions about how you can help 9 what do i do if the tooth breaks when it comes out? Chips to the teeth, or teeth that have been chipped are typically the least significant from a whilst chips can exist in any tooth, it is the front teeth where chips are most noticeable as these in most cases chipped teeth cause little in the way of lasting damage to the tooth, so they are simple to fix. How do you strengthen loose tooth?

Posting Komentar

0 Komentar